Skip to main content

Dental Bonding in Toluca Lake

#1 Cosmetic Smile Transformations in Toluca Lake

Office HOURS

Mo, Tu and Thur.                          Wednesday
    8:00 am – 5:00 pm                      9:00am-6:00pm

Revitalize Your Smile Affordably & Quickly

At Toluca Advanced Dentistry, we understand how much your smile matters—not just for appearance, but also for confidence, social interactions, and everyday comfort. If you’ve been holding back from smiling because of a chipped tooth, small gaps, stubborn staining, or uneven edges, cosmetic dental bonding (also called tooth bonding or composite bonding) may be the perfect solution. Bonding is one of the most efficient, affordable, and minimally invasive cosmetic dental treatments available. In many cases, it can be completed in just one visit, giving you instant results without the need for extensive procedures.

Patients throughout Toluca Lake, North Hollywood, Studio City, Burbank, and the greater Los Angeles area choose bonding because it combines fast results with natural-looking improvements. Whether you’re preparing for a special occasion or simply want to feel more confident day-to-day, bonding can make a noticeable difference in your smile.

What Is Dental Bonding?

Dental bonding is a cosmetic and restorative procedure that uses a tooth-colored composite resin.
The dentist applies this resin to your tooth, sculpts it, then hardens (cures) and polishes it so
that it matches your natural teeth. It’s used to correct or enhance minor cosmetic imperfections:

  • Chipped, cracked, or broken teeth
  • Gaps (spaces) between teeth
  • Discolored or stained teeth that don’t respond to whitening
  • Irregular or uneven teeth edges or length
  • Exposed roots (due to gum recession)

Who Is a Good Candidate?

Tooth bonding works best when:

  • You have otherwise healthy teeth and gums
  • Minor cosmetic like: chipped teeth, small gaps, slight discoloration, uneven edges
  • You’re looking for something affordable and quick
  • You understand that bonding may require touch-ups over time and doesn’t always resist stains as well as porcelain
    It may not be the ideal choice if you have large damages, severe staining, misalignment, or want a very long-term extreme makeover. In those cases, veneers, crowns, or orthodontics might be discussed.

Why Choose Toluca Advanced Dentistry for Bonding in Toluca Lake?

  • We’re a trusted cosmetic dental practice in Toluca Lake / North Hollywood / Burbank / Studio City / Los Angeles
  • Transparent pricing and honest evaluation: we’ll show you what bonding can & can’t do in your case
  • Flexible payment options — we work with financing partners so treatment fits your budget
  • Highly skilled team with excellent reviews: many patients highlight how our front desk makes sure there are no surprises and how caring our dentists are throughout the process

Smile Solutions

Top 3 issues fixed with Dental Bonding

The,Broken,Tooth,White,Teeth,And,Gums,Illustration,Vector,Design

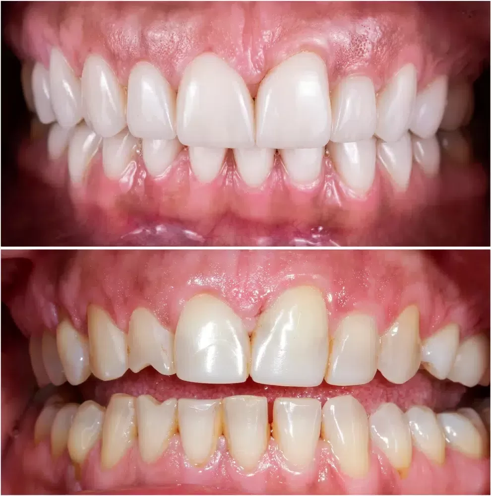
Chipped/Cracked Tooth

Dental bonding provides a durable solution for repairing damaged teeth, restoring both their appearance and functionality. The composite resin material bonds strongly with your natural tooth structure, preventing further damage while ensuring a seamless look that matches your smile.
Blank,Banner,Upper,Attrition,(bruxism),Teeth,Illustration,Vector,On,Blue

irregular tooth shape

If you have teeth that are misshapen, too small, or asymmetrical, dental bonding can help create a more balanced and harmonious smile. Our dentists skillfully shape the bonding material through a meticulous multi-step process that ensures the most natural-looking results.
Dental,Cartoon,Of,Gap,Teeth,And,Crooked,Teeth,Boy,&

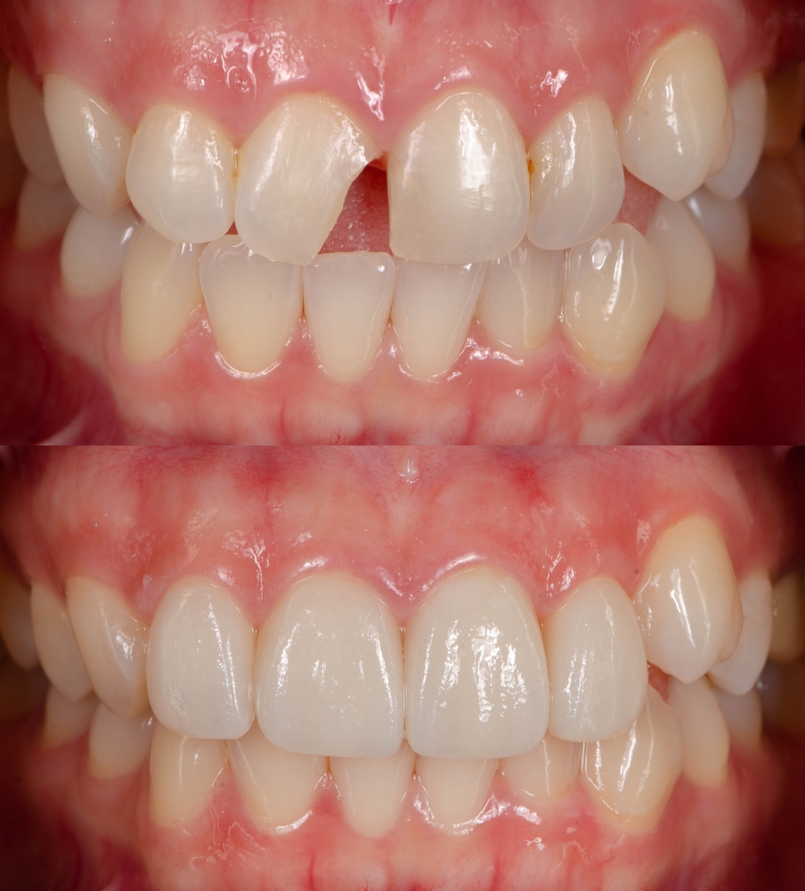
Gaps between teeth

For patients who want to close small gaps between their teeth without pursuing lengthy orthodontic treatment, dental bonding offers an excellent alternative. The procedure can be completed in a single visit, instantly improving the appearance of spacing issues in your smile.

Get $100 Off Teeth Whitening Treatment!

Contact Us Today and Get All the Information You Need

Our Satisfied Patients Say It Best!

Dr. Shahrad Shawn Shahrooz doing procedure on patient

Dr. Shahrad Shawn Shahrooz

General, Cosmetic & Restorative Dentist, DDS

Dr. Shahrad Shawn Shahrooz is a trusted general and cosmetic dentist known for his gentle, patient-centered care. With over a decade of experience, he’s praised for his precision, particularly in cosmetic procedures like Invisalign and crowns. Patients often mention his ability to alleviate anxiety through clear communication and a calm demeanor, making dental visits comfortable and nearly pain-free. Dr. Shawn takes the time to ensure every detail is perfect, from routine cleanings to more complex treatments. His modern office and friendly staff create a welcoming environment that keeps patients coming back​.

Dr. Tina Yazdi

General Dentist, DDS

Dr. Yazdi graduated from USC Dental School in 2013 and has enhanced her expertise with advanced training in general dentistry at Lutheran Medical Center, completing a rigorous one-year residency program.Dr. Yazdi’s warm demeanor and genuine care for patients make her an excellent addition to our team. Her kindness and ease of communication create a comfortable and reassuring dental experience. Notably, Dr. Yazdi’s meticulous attention to detail stands out. She is dedicated to providing thorough and transparent care, ensuring you are well-informed about your dental health options.

Dr. Tina Yazdi

Frequently Asked Questions

With good care, bonding can last 5–10 years, depending on where the tooth is located and how much pressure it endures. Regular check-ups help us monitor and polish bonded areas to keep them looking their best.

Bonding typically starts at $250–$400 per tooth, making it more affordable than porcelain veneers or crowns. Veneers can last longer and resist stains better, but bonding is an excellent option for quick, cost-effective improvements.

Bonding is best for patients with minor cosmetic issues—like chips, small gaps, or discoloration—who want fast and affordable results. If you need more extensive smile correction, veneers, crowns, or orthodontics may be recommended.

Yes, you’ll be able to eat and drink normally once your bonding is complete. That said, it’s best to avoid biting down on hard objects—like ice, pens, or fingernails—as these can chip or damage the bonding material.

 

get in touch with us

Dr. Shahrad Shawn Shahrooz, DDS