Skip to main content

Top Rated Dental Implant Specialist In Los Angeles

Free Dental Implant Consultation

Free Implant 3D Scan, Exam and X-Rays

Experience Expert Dental Implant Guidance Without the Pressure

Has the cost of dental implants kept you from taking the steps toward a beautiful new smile? At Toluca Advanced Dentistry, we believe everyone deserves access to expert guidance without financial pressure. Our experienced team offers complimentary dental implant consultations and free second opinions to help you make informed decisions about your oral health with complete transparency and honesty.

Book Your FREE Dental Implant Consultation—No Obligation!

Schedule your complimentary consultation today and discover how dental implants can transform your smile. During your free visit, you’ll receive a comprehensive evaluation that includes advanced 3D scans, a thorough dental exam, and necessary X-rays—all at no cost to you. Our North Hollywood dental practice is committed to providing you with all the information you need to understand your treatment options, with no pressure and no hidden fees.

What to Expect During Your Free Implant Consultation

Your complimentary dental implant consultation at Toluca Advanced Dentistry includes a complete assessment of your oral health and candidacy for dental implants. We utilize state-of-the-art 3D imaging technology to provide detailed scans that allow us to evaluate your bone structure, identify any potential challenges, and create a personalized treatment plan tailored to your unique needs. Our team will conduct a comprehensive exam along with digital X-rays to ensure we have a complete picture of your dental health before making any recommendations.

During your consultation, we’ll walk you through every step of the dental implant process, from initial placement to final restoration. We believe in complete transparency, so we’ll discuss all necessary procedures, realistic timelines, and expected outcomes without any pressure or sales tactics. Our goal is to determine whether you’re a good candidate for dental implants and to provide honest, professional guidance about what treatment approach will work best for your specific situation.

👉 Call now and mention this promotion to book your free implant consultation with the top rated implant dentist in Los Angeles. 

Free Dental Implant Second Opinion

Already received a treatment plan from another dentist but want a second opinion? Toluca Advanced Dentistry welcomes patients seeking a free second opinion on dental implants. We’ll review your existing treatment plan, examine your current dental records, and provide our professional assessment with complete honesty. Our Toluca Lake  practice has helped countless patients gain clarity and confidence in their dental decisions through our no-obligation second opinion consultations. 

Transparent, Flexible Payment Options & Insurance Coverage

Understanding that the cost of dental implants can be a significant investment, we’ve designed our payment structure to be as manageable and stress-free as possible. You won’t need to pay the full cost of your implant treatment upfront. Instead, we charge as you progress through each phase of the process. This pay-as-you-go approach allows you to move forward with your dental implant treatment without overwhelming financial burden, making your journey to a complete smile more accessible and manageable.

As an in-network provider with most PPO insurance plans, our treatment coordinators works diligently to maximize your insurance benefits for dental implant treatment. During your free consultation, our team will verify your coverage and determine exactly what portion of your treatment may be eligible for insurance reimbursement. We do all the necessary due diligence upfront to ensure there are no surprises when you come in—you’ll know exactly what to expect regarding costs and coverage before any treatment begins, giving you complete peace of mind and financial clarity.

Next Steps: Your Path to Regaining a Full Confident Smile

Ready to explore your dental implant options? The first step is simple: contact our office by phone, text or schedule online to schedule your free consultation or second opinion. During your visit, we’ll complete your complimentary 3D scans, exam, and X-rays, then discuss your personalized treatment plan and answer all your questions. Once you’re comfortable moving forward, we’ll schedule your implant procedure at your convenience and begin the step-by-step process toward restoring your beautiful, confident, full smile.

Why Choose Toluca Advanced Dentistry for Dental Implants?

Our dental implants look, function, and feel like your natural teeth, allowing you to smile wide with confidence. Our dental implants are strong and secure, so you can eat and drink the things you love without fear of damaging your restoration. With our expertise in general, cosmetic, and restorative dentistry, combined with our commitment to transparent communication and flexible payment options, we make achieving your dream smile easier than ever.

Contact us today to schedule your free dental implant consultation or second opinion at our North Hollywood location, and let us help you get the confident, complete smile you’ve been looking for!

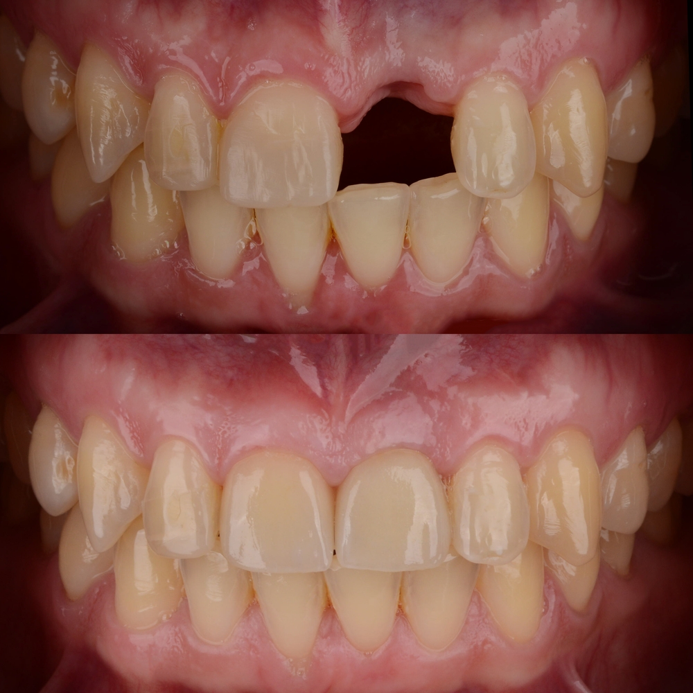
Before and After Full Smile Makeover with Dental Implants

Dental implant before and after | top rated dental implant dentist in Toluca lake
Dental implant before and after | top rated dental implant dentist in North Hollywood
Dental implant before and after | top rated dental implant dentist in Los Angeles

Patient Testimonials

Book Your Appointment

Dr. Shahrad Shawn Shahrooz, DDS